Tratamientos dentales en Villaviciosa de Odón
Clínica en Villaviciosa de Odón con todos los tratamientos dentales para cuidar de tu estética y salud
¿Necesitas llevar a tu hijo a su primera revisión dental y no sabes dónde ir? ¿Últimamente tienes dolores de muelas y quieres acabar con ese sufrimiento? ¿Por fin te has decidido a realizarte el tratamiento de estética dental que siempre has querido? Ven a la Clínica Dental Sánchez González y encuentra la mejor asistencia médica y humana en la zona del sur de Madrid. En nuestro centro encontrarás los mejores tratamientos dentales en Villaviciosa de Odón, siempre adaptados a tus necesidades y con el apoyo de profesionales implicados.
Te ofrecemos los mejores tratamientos dentales en Villaviciosa de Odón
En la Clínica Dental Sánchez González contamos con un equipo multidisciplinar, con muchos años de experiencia laboral y especializado en prácticamente todas las áreas de la medicina dental. Algunos de los tratamientos dentales en Villaviciosa de Odón más significativos son los siguientes:
IMPLANTES DENTALES
Estamos especializados en la realización de tratamientos personalizados de implantología. En este sentido realizamos implantes convencionales, implantes inmediatos, injertos de hueso con elevaciones de seno, implantes de carga inmediata, puentes sobre implantes, sobredentaduras y tratamientos de prótesis fijas, entre otros. Pídenos más información ahora mismo y luce tu mejor sonrisa.
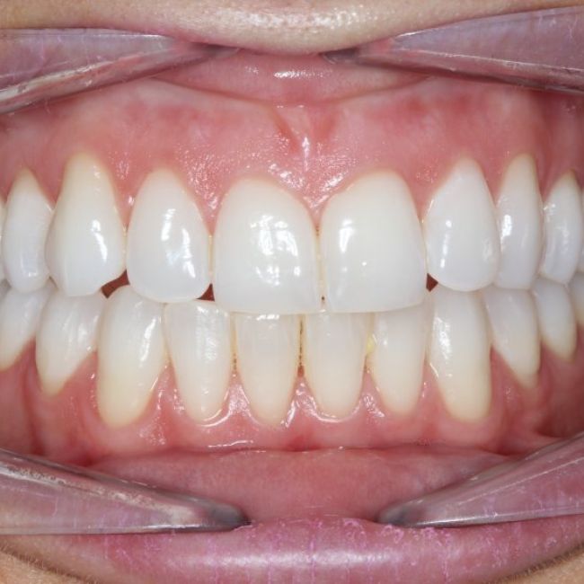
ESTÉTICA DENTAL
La rama de la estética dental es una de las más solicitadas por nuestros clientes, ya que se centra en el buen aspecto de los dientes, la boca y las encías. En este sentido, realizamos servicios tan populares como los blanqueamientos dentales, colocación de carillas de porcelana o composite y tratamientos revolucionarios con ácido hialurónico. Ven a vernos hoy mismo y te diremos cómo conseguir la mejor estética dental
ORTODONCIA
Los tratamientos de ortodoncia que proponemos a nuestros pacientes están adaptados a sus necesidades, por lo que pueden ser tanto ortodoncias fijas como removibles. Además, aparte de brackets de autoligado, también podemos colocar brackets estéticos. Si lo que quieres es que no se note nada, lo mejor es que apuestes por la ortodoncia invisible Invisalign. Solicita tu primera cita y haremos un estudio pormenorizado de tu caso.
ODONTOPEDIATRÍA
Los tratamientos de odontopediatría están dirigidos a los más pequeños de la casa, ya que es muy importante que acudan al dentista a partir de los tres años de edad. Más que consultas para resolver un problema se trata de citas preventivas para evitar la aparición de algún problema durante el crecimiento o adolescencia. Además, enseñaremos a tus hijos cuáles son los mejores hábitos de higiene bucodental.
Clínica de odontopediatría en Villaviciosa de Odón
Puede que pensamos que hasta bien entrados en la edad adulta no sea necesario que nos preocupemos por nuestra salud y seguridad bucodental, algo con lo que no estamos de acuerdo en nuestra clínica de Odontopediatría en Villaviciosa de Odón. En Clínica Dental Dr. Sánchez González contamos con un protocolo de actuación para prevenir futuros problemas.

