Periodoncia en Villaviciosa de Odón
¿Te sangran las encías con frecuencia o notas últimamente un mal aliento? EnClínica Dental Sánchez González somos expertos en periodoncia en Villaviciosa de Odón y ponemos remedio a tus molestias.
En nuestro centro queremos asegurarnos de prevenir o frenar cualquier posible complicación en tu salud bucal.
Estamos comprometidos en brindarte una atención de primera clase para el cuidado de tus encías y tejidos periodontales.
Contamos con un equipo de dentistas altamente profesionales y especializados en periodoncia que se dedican exclusivamente al diagnóstico, tratamiento y prevención de enfermedades periodontales.
Nuestra experiencia y conocimientos nos permiten abordar una amplia gama de problemas relacionados con las encías, desde la inflamación y el sangrado hasta la pérdida de hueso y la movilidad dental.
Utilizamos tecnología avanzada y técnicas de vanguardia para evaluar y tratar tus necesidades periodontales de manera efectiva.
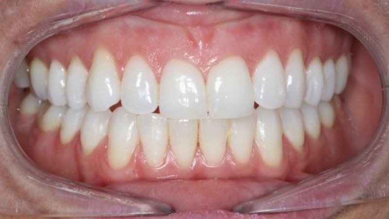
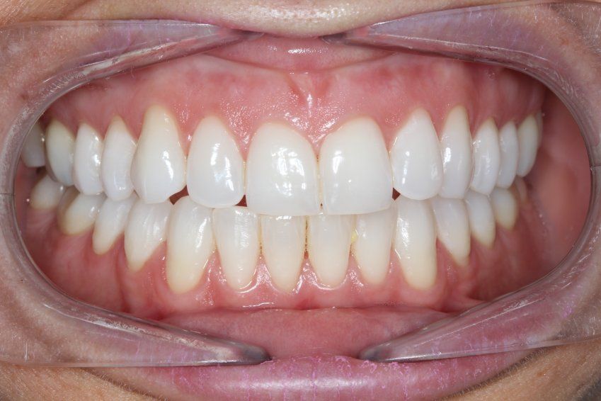
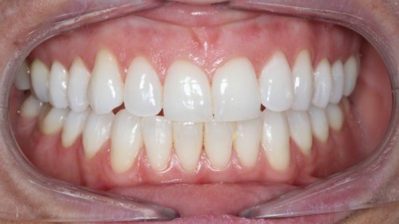
Tratamiento de periodoncia para el sangrado de encías y la movilidad dental
Nuestro enfoque se basa en realizar un diagnóstico preciso a través de evaluaciones periodontales, radiografías y análisis detallados de tus encías. Esto nos permite diseñar un plan de tratamiento personalizado que se adapte a tus necesidades específicas.
Nuestros servicios de periodoncia incluyen la limpieza profunda de las raíces, también conocida como raspado y alisado radicular, que elimina la placa y el sarro acumulados debajo de la línea de las encías.
No ignores los signos de enfermedad periodontal, como encías rojas, inflamadas, sensibles o que sangran fácilmente. Estos pueden ser indicadores tempranos de problemas más graves.
Si experimentas alguno de estos síntomas o tienes inquietudes sobre la salud de tus encías, te invitamos a programar una cita en nuestra clínica dental de periodoncia en Villaviciosa de Odón.
Estudiamos el tratamiento que mejor se adapte a tus necesidades
Además de este tratamiento, en nuestras clínicas de Villaviciosa de Odón y Fuenlabrada, somos expertos en otros tratamientos como tratamientos de ortodoncia para adultos, ortodoncia invisible, blanqueamiento dental, ginvectomía …
Contáctanos
Si tienes cualquier consulta, no dudes en ponerte en contacto con nosotros. En Clínica Dental Sánchez González queremos verte sonreír. ¡Esperamos verte pronto y brindarte el cuidado periodontal que te mereces!

