Periodoncia en Fuenlabrada
    En Clínica Dental Dr. Sánchez González nos especializamos en periodoncia en Fuenlabrada. Estamos comprometidos en brindarte una atención excepcional para el cuidado de tus encías y tejidos periodontales.
Nuestro equipo de dentistas altamente capacitados y experimentados se dedica exclusivamente a la prevención, diagnóstico y tratamiento de enfermedades periodontales. Ya sea que estés experimentando inflamación de las encías, sangrado o movilidad dental, estamos aquí para ayudarte.
Cuida tus encías con nuestro tratamientos periodontales
En nuestra clínica, contamos con tecnología de vanguardia y técnicas avanzadas para garantizar que recibas el mejor tratamiento posible.
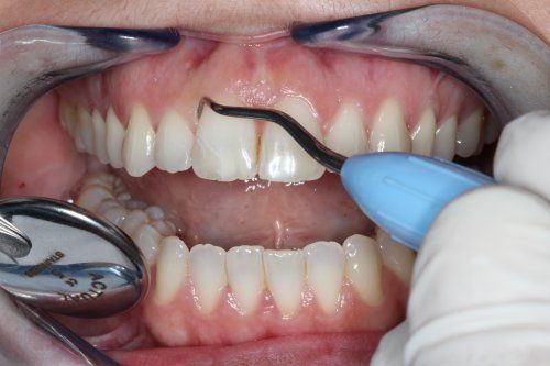
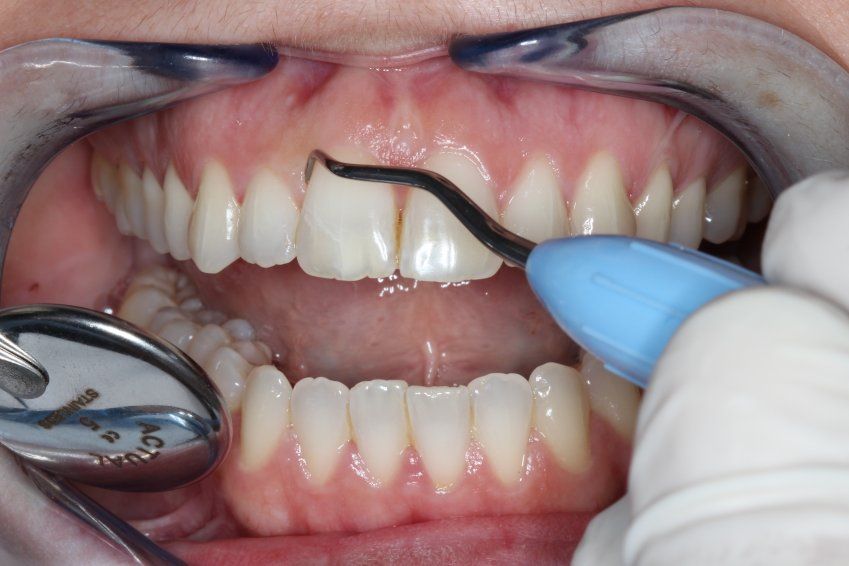
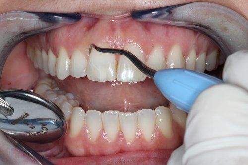
Realizamos un examen minucioso y utilizamos radiografías y evaluaciones periodontales para evaluar la salud de tus encías y determinar el tratamiento más adecuado para ti.
Nuestros servicios de periodoncia incluyen la limpieza profunda de las raíces, también conocida como raspado y alisado radicular, que elimina la placa y el sarro debajo de la línea de las encías, y promueve la curación y la regeneración de los tejidos periodontales.
Además, estudiamos la técnica de higiene y la modificamos para llevar un control anual de la placa bacteriana.
Si has experimentado una pérdida ósea debido a la enfermedad periodontal, también ofrecemos tratamientos de regeneración ósea y colocación de injertos para fortalecer y reconstruir los tejidos dañados.
Nos enorgullece ofrecer un ambiente cálido y acogedor en nuestra clínica, donde tu comodidad y bienestar son nuestra prioridad. Nuestro personal amable y atento se asegurará de que te sientas relajado y confiado durante tu visita.
Tu salud periodontal es crucial para mantener una sonrisa bonita y funcional. No ignores los signos de enfermedad de las encías, ya que pueden tener un impacto significativo en tu salud bucal general.
Si experimentas encías rojas, hinchadas, sangrado al cepillarte o mal aliento persistente, no dudes en visitarnos.
Nuestros tratamientos
Tenemos centros en Fuenlabrada y Villaviciosa, donde, aparte de periodoncia, llevamos a cabo otros tratamientos:
- Implantes dentales
 - Ortodoncia
 - Estética Dental (blanqueamiento, carillas, ácido hialurónico..)
 - Prótesis dental
 - Odontología Conservadora
 - Cirugía Oral
 - Periodoncia
 - Odontopediatría
 - Endodoncia
 - ATM y Bruxismo
 
No dudes en consultarnos
Si tienes alguna molestia, quieres mejorar la estética de tu sonrisa o, simplemente, deseas asegurarte de que todo está bien, ven a visitarnos.
Contáctanos hoy mismo para programar una cita en nuestra clínica dental de periodoncia en Fuenlabrada. Estaremos encantados de ayudarte a lograr una sonrisa sana y radiante. ¡Esperamos verte pronto!
                                
